IMPORTANTE Drama en el Pacífico: tercer día de búsqueda desesperada del joven sanjuanino, mientras su hermano evoluciona favorablemente
Para ver esta nota en internet ingrese a: https://www.delsurdiario.com/a/57074
Operativo judicial

Caen tres bolivianos con 2,5 kg de cocaína en cápsulas durante viaje a San Juan

Gendarmería Nacional detuvo a tres ciudadanos bolivianos que llevaban droga ingerida en cápsulas mientras viajaban en un transporte público de Jujuy hacia San Juan.

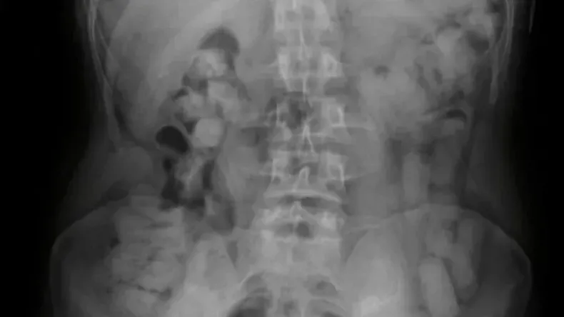
Imagen relacionada con la noticiaCrédito: Diario Popular

Personal del Puesto Control Fijo "Trancas" del Escuadrón 55 "Tucumán" de Gendarmería Nacional, durante tareas de prevención y seguridad vial en el kilómetro 1.358 de la Ruta Nacional N° 9, detuvo un transporte público con itinerario Jujuy – San Juan.

Al registrar a los pasajeros, los funcionarios junto con efectivos de la Dirección Antidrogas identificaron a tres hombres de nacionalidad boliviana que mostraban signos de haber ingerido cápsulas con estupefacientes.

Ante la presunción de delito, se contactó al Juzgado Federal de Tucumán, que autorizó su traslado a un nosocomio local para realizar placas radiográficas.

Los estudios médicos confirmaron cuerpos extraños en los estómagos de los pasajeros, quienes quedaron bajo observación. Tras un día de internación, evacuaron 235 cápsulas con un peso total de 2 kilos 554 gramos de cocaína.

El Magistrado interviniente dispuso el labrado de actuaciones, el decomiso de la droga y la detención de los tres ciudadanos por infracción a la Ley 23.737.

Te puede interesar

Últimas noticias

Ver más noticias